Chiama ora!
Studio Medico Dentistico Associato Lombardo
Dentista
Novità e Offerte
Info
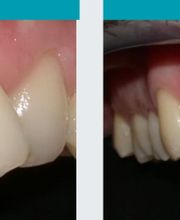
Il professor Giorgio Lombardo e il dr. Luca Lombardo operano con competenza e professionalità presso il proprio studio dentistico a Verona. Il professor Giorgio Lombardo si occupa, da oltre vent'anni, esclusivamente di parodontologia, chirurgia orale e implantologia. Il protocollo terapeutico, messo a punto nel corso degli anni dal professor Giorgio Lombardo, per la cura delle patologie della gengiva e dell'osso di supporto ottiene risultati evidenti fin dalle prime sedute riuscendo a bloccare l'avanzare della malattia. Grazie alla padronanza dal parte del professor Giorgio Lombardo di tutte le tecniche chirurgiche, la sostituzione degli elementi perduti o compromessi, mediante l'inserimento di impianti è ottenibile anche in quei casi altrove ritenuti a rischio. Il dr. Luca Lombardo, anch'egli da oltre vent'anni, si occupa invece di terapia conservativa, endodonzia e riabilitazione protesica su denti naturali e su impianti. Oltre agli imprescindibili aspetti clinici e funzionali da parte dello studio dentistico del professor Giorgio Lombardo e il dr. Luca Lombardo, massima attenzione viene posta in ogni terapia al risultato estetico finale preventivamente documentato al paziente mediante visione al computer di numerosissimi casi già risolti. Lo studio dentistico del professor Giorgio Lombardo e il dr. Luca Lombardo riceve solo su appuntamento dal lunedì, alla mattina del venerdì.
Orari di apertura
- Lunedì
- 09:00 a 19:00
- Martedì
- 09:00 a 12:30 - 15:00 a 19:00
- Mercoledì
- 09:00 a 19:00
- Giovedì
- 09:00 a 18:00
- Venerdì
- 09:00 a 13:00
- Sabato
- Chiuso
- Domenica
- Chiuso
Settori / Specializzazioni
DentistaGalleria









Mappa
Viale Nino Bixio, 28, 37126 Verona