Last Minute Tour SPA Agenzia di Viaggio
Agenzia di viaggi · Tour operator
Piazza Bernini Lorenzo 11, 10138 TorinoChirurgia · Dentista
+393516697517 (Telefono)
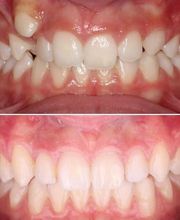
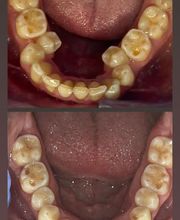
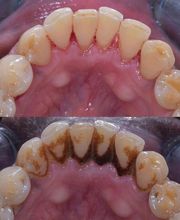
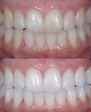
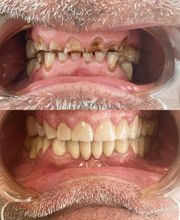
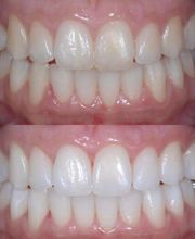
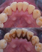
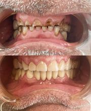
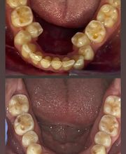
Nello Studio Dentistico Bernini ci impegniamo a fornire cure di qualità e durature per i nostri pazienti. Utilizziamo solo materiali e tecnologie d'avanguardia per garantire risultati ottimali e minimizzare il rischio di problemi futuri. Inoltre, il nostro approccio conservativo mira a preservare al massimo la salute dei denti e delle gengive, evitando interventi invasivi e costosi. In questo modo, non solo garantiamo la salute dei pazienti, ma anche il loro risparmio a lungo termine.










Piazza Lorenzo Bernini, 11, 10138 Torino
Agenzia di viaggi · Tour operator
Piazza Bernini Lorenzo 11, 10138 TorinoPoste
VIA BRUINO 1, 10138 TORINO