Dr. Paolo Oculista Cibelli
Fisioterapia · Medico · Oculista
Corso Galileo Ferraris 107, 10128 TorinoOrtopedia
https://www.studiocrocetta.it/ (WEBSITE)
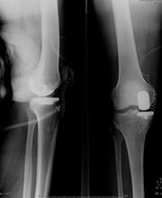
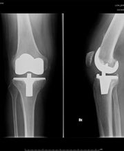
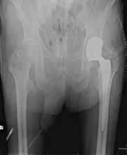
Il Dr. Grillo Pier Paolo, laureato con lode in Medicina e Chirurgia, è specializzato in Ortopedia, Traumatologia e Fisioterapia. Dal 1980 lavora presso il CTO di Torino, ove attualmente presta servizio presso la Clinica Ortopedica Traumatologica Universitaria in qualità di Dirigente Ortopedico - Traumatologo di I° Livello, che svolge la sua attività di sala operatoria, ambulatori specialistici e pronto soccorso. Si occupa prevalentemente di chirurgia del ginocchio e dell'anca con riferimento: Chirurgia protesica(totale, parziale, revisioni e reimpianti, trattamento delle complicanze settiche), Chirurgia artroscopica (ricostruzioni legamentose LCA-LCP, meniscectomie selettive, suture meniscali, trattamento dei danni cartilaginei),chirurgia della patologia rotulea (riallineamenti prossimale e distale,trattamento della lussazione recidivante,condroplastica, ricostruzione legamento patello-femorale) chirurgia delle deformità (ginocchio varo o valgo), traumatologia, patologie degenerative post-traumatiche. Ha partecipato a numerosi congressi, convegni e corsi di aggiornamento in Italia e all'estero; ha partecipato a numerosi Cadaver Lab all'estero in qualità di Tutor; è coautore di numerose pubblicazioni scientifiche edite a stampa. Per contatti e prenotazioni: studio medico: Studio Medico Crocetta - c.so Galileo Ferraris 107, Torino tel.: 011-5818892. Per ulteriori informazioni visitate il sito: www.studiocrocetta.it.








Corso Galileo Ferraris, 107, 10128 Torino
Fisioterapia · Medico · Oculista
Corso Galileo Ferraris 107, 10128 TorinoUfficio amministrativo
Corso Galileo Ferraris 107, 10128 TorinoConsulenza finanziaria
Corso Galileo Ferraris 107, 10128 Torino