Centro Dentistico Mt
Dentista · Chirurgia estetica
+390113040497 (Telefono)
https://www.centromt.com (WEBSITE)
Info
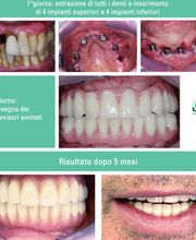
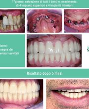
Il Centro Dentistico MT è uno studio odontoiatrico allavanguardia, specializzato nella cura e nelligiene dentale di adulti e bambini. Offriamo unampia gamma di servizi per la salute e lestetica del tuo sorriso, tra cui: ✔ Igiene e prevenzione dentale ✔ Ortodonzia tradizionale e Invisalign ✔ Faccette dentali per un sorriso perfetto ✔ Implantologia e protesi dentali ✔ Radiologia digitale e TAC ✔ Trattamenti di medicina estetica per il viso Grazie a tecnologie innovative e un team di professionisti esperti, garantiamo cure personalizzate in un ambiente accogliente e sicuro. 📍 Indirizzo: Torino , C.so Adriatico 22 📞 Contattaci: 0113040497 🌐 Visita il nostro sito: [Inserisci sito web] Affidati a noi per un sorriso sano e splendente!
Orari di apertura
- Lunedì
- 09:00 a 19:00
- Martedì
- 09:00 a 19:00
- Mercoledì
- 09:00 a 19:00
- Giovedì
- 09:00 a 19:00
- Venerdì
- 09:00 a 19:00
- Sabato
- Chiuso
- Domenica
- Chiuso
Galleria









Mappa
Corso Adriatico, 22, 10129 Torino