Fios Consulenze SRL
Assicurazione
Via Umberto Puppini 14-6 16, 00132 RomaDentista · Sbiancamento dentale · Chirurgia estetica
+390746483226 (Telefono)
+393891565045 (ALTERNATE)
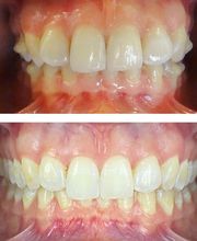
Nel nostro studio offriamo tutti i servizi legati alla salute e bellezza della bocca. Collaboriamo soltanto con personale altamente specializzato, in grado di seguirti per ogni necessità, dal controllo periodico fino a trattamenti di ortodonzia, protesi, implantologia, endodonzia, conservativa, estetica dentale e del viso. Grazie alle collaborazioni con vari professionisti, lo studio opera in molteplici aree d'intervento: ortodonzia, gnatologia, conservativa, estetica dentale, implantologia, protesi, chirurgia, parodontologia, endodonzia, chirurgia odontostomatologica, allineamento denti adulto e bambino con tecnica estetica di Invisalign, e ogni tipo di trattamento rivolto alla prevenzione e alla cura del cavo orale, utilizzando tecniche innovative. Lo studio dentistico è convenzionato con i fondi assicurativi Pronto-Care , Previmedical, Rmb Salute, Coldiretti E Unisalute e ha riservato agevolazioni ad alcuni enti come Carabinieri, Guardia di Finanza e Croce Rossa Italiana.







Via Umberto Puppini, 8, 00132 Roma
Assicurazione
Via Umberto Puppini 14-6 16, 00132 RomaLavanderia · Lavanderia a secco · Servizio di assistenza domiciliare
Via Raoul Chiodelli 100, 00132 Roma