Chiama ora!
Studio Odontoiatrico Dr. M. Iancu - L. Marchione
Dentista
+393283216333 (Telefono)
+393333868447 (Mobil)
Novità e Offerte
Info
Lo studio Associato del Dott. Maciej Iancu Potrubacz e della Dott.ssa Laura Marchione è dotato di 2 moderne stanze operative e attrezzato con apparecchiature odontoiatriche di ultimissima generazione garantendo prestazioni odontoiatriche, ortodontiche ed orto-pedodontiche. Inoltre, tramite l'utilizzo del laser odontoiatrico a diodi permette moderni procedimenti chirurgici sui tessuti molli del cavo orale, procedure di "power bleaching"(sbiancamento) in una sola seduta e desensibilizzazione dei colletti. Vi aspettiamo per risolvere con professionalità, gentilezza e massima disponibilità ogni vostro problema dei denti e quelli dei vostri figli e nipotini. Lo studio è dotato inoltre di uno scanner intraorale per evitarvi la il fastidio delle impronte tradizionali. Lo studio è convenzionato con Previmedical San Paolo, accetta tutte le carte di credito ed offre il servizio PagoDil.
Check, Financing, MasterCard, Visa
Orari di apertura
- Lunedì
- 09:00 a 13:00 - 15:00 a 19:00
- Martedì
- 09:00 a 13:00 - 15:00 a 19:00
- Mercoledì
- 09:00 a 13:00 - 15:00 a 19:00
- Giovedì
- 09:00 a 13:00 - 15:00 a 19:00
- Venerdì
- 09:00 a 13:00 - 15:00 a 19:00
- Sabato
- Chiuso
- Domenica
- Chiuso
Settori / Specializzazioni
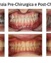
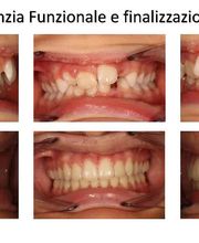
DentistaGalleria










Mappa
Via Nicola Moscardelli, 26, 67100 L'Aquila