Chiama ora!
Centro Odontoiatrico Farneti Bondi Zanfanti
Dentista
+39051546398 (Telefono)
+39051492080 (Fax)
Novità e Offerte
Info
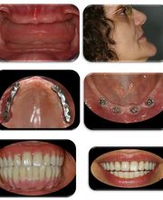
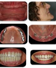
Il Centro Odontoiatrico è una struttura sanitaria autorizzata per la diagnosi e la cura delle patologie del cavo orale sia nell'adulto, sia nel bambino. Gli ambienti, privi di barriere architettoniche, sono studiati per il massimo comfort del paziente. Vengono fornite prestazioni altamente qualificate secondo la multidisciplinarietà odontoiatrica al fine di mantenere o ripristinare le condizioni di salute orale. I principali servizi per l'adulto sono igiene orale, parodontologia, implantologia, chirurgia, protesi fissa e mobile, conservativa estetica, endodonzia, sbiancamento professionale, ortodonzia, patologia orale (con diagnosi istologica). I principali servizi per il bambino sono cura della malattia cariosa, ortodonzia, sigillature e fluoroprofilassi.
Orari di apertura
- Lunedì
- 08:30 a 17:00
- Martedì
- 11:00 a 19:30
- Mercoledì
- 08:30 a 19:30
- Giovedì
- 11:00 a 19:30
- Venerdì
- 08:30 a 17:00
- Sabato
- Chiuso
- Domenica
- Chiuso
Settori / Specializzazioni
DentistaGalleria








Mappa
Via Abruzzo, 14/H, 40139 Bologna