Chiama ora!
Renda Studio di Risonanza Magnetica - Rx - Ecografia - Tac
Medicina nucleare
Novità e Offerte
Info
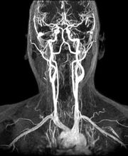
Lo studio di radiodiagnostica ed ecografia del dr. Francesco Renda nasce nel 1971 ed è uno studio privato che opera per il S.S.N. in regime di accreditamento. Le prestazioni diagnostiche includono esami di risonanza magnetica RM, tomografia assiale computerizzata TAC, radiologia tradizionale, mammografia, ortopantomografia, ecografia(con color-doppler) e densitometria ossea computerizzata(MOC). La gamma degli esami proposti, l'esperienza degli operatori, l'utilizzo di tecnologie all'avanguardia e di software specifici, assicurano esami radiografici di elevato valore diagnostico e garantiscono al paziente un'inferiore esposizione alle radiazioni ionizzanti. Gli esami di risonanza magnetica articolare vengono effettuati utilizzando un'apparecchiatura di ultima generazione, di tipo aperto.
Orari di apertura
- Lunedì
- 08:00 a 18:00
- Martedì
- 08:00 a 18:00
- Mercoledì
- 08:00 a 18:00
- Giovedì
- 08:00 a 18:00
- Venerdì
- 08:00 a 18:00
- Sabato
- Chiuso
- Domenica
- Chiuso
Settori / Specializzazioni
Medicina nucleareGalleria








Mappa
Via Imera, 149, 92100 Agrigento